IT之家 11 月 30 日消息,美国密苏里州一名魔术师突发奇想:将一枚电脑芯片植入自己的手掌,再用它表演一些有趣的魔术。可惜的是,他竟然忘了密码。

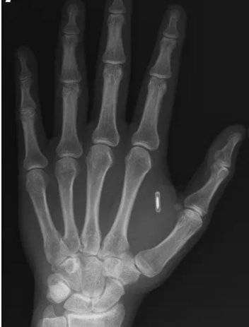
这听起来像是一则荒诞短篇小说,但这件事却真实发生在密苏里州的魔术师兼分子生物学家王子腾(Zi Teng Wang,音译)身上。本月,他在个人 Facebook 账号上分享了这段窘境,并附上了一张 X 光片,该 X 光片清晰显示那枚惹祸的微型芯片,就嵌在他的拇指与食指之间,轮廓分明。
“我现在正活在自己亲手打造的赛博朋克反乌托邦里,被锁在自己身体里的科技之外,而这一切完全怪我自己。”这位艺名为“心灵术士子”(Zi the Mentalist)的魔术师写道。
IT之家注意到,他在 Facebook 帖子中解释道,多年前出于魔术表演的趣味性,他将一枚射频识别(RFID)微型芯片植入掌中。该芯片原本的设计是:当观众用带有 RFID 读取功能的智能手机触碰他的手时,即可触发他预设的魔术效果。
“但事实证明,反复让别人把手机按在我手上,试图找到他们手机 RFID 读取器的位置,根本谈不上神秘、神奇或令人惊叹,”他写道,“而且很多时候,观众的手机根本没开启这个功能。如果改用我自己的手机来扫描,又显然缺乏表演张力。”
后来,他不再将芯片用于魔术道具,转而尝试将其重新编程:先是写入一个比特币地址,随后又链接到图像分享平台 Imgur 上的一个网络梗图。
“但几年前那个 Imgur 链接失效了。当我打算重新写入芯片内容时,惊恐地发现自己竟忘了当初设置的密码。”他说。
故事的结局是:懂技术的朋友告诉他,唯一解锁芯片的办法,就是把 RFID 读取器绑在手掌上,“连续几天甚至几周”,通过“暴力破解”尝试所有可能的密码组合。于是,这枚芯片至今仍留在他手中,连同那个遗失的密码一起,成了无法访问的“体内遗迹”。
“至少那个 Imgur 链接现在又能打开了,”王子腾写道,“但我仍然被锁在自己身体里的科技之外,虽然很不方便,但也挺搞笑的。”
类似事件并非首例。前《Vice》杂志记者丹尼尔・奥伯豪斯(Daniel Oberhaus)曾在 2018 年回忆,自己曾酒后一时兴起,将一枚近场通信(NFC)芯片植入掌中。和王子腾一样,他也忘记了芯片的密码,一度自嘲为“世界上最无用的赛博格”。所幸,经过数小时翻阅技术手册,他最终找回了密码。“如果要给任何考虑植入 NFC 芯片的人一条建议,那就是:千万别喝醉了去做这事。”他打趣道。